Veneers Offer A Subtle Transformation
Do Veneers Look Realistic? Let The Results Speak for Themselves
Not a Candidate for Veneers? We Have Other Solutions
/
Patients can find a wide variety of dentistry options at our office. Depending on your needs, we might recommend teeth whitening, crowns, or Invisalign®. Visit us to explore all the possibilities.
Choose a Dentist Who Constantly Strives for Improved Care
The field of cosmetic dentistry continues to show exciting advances — and Dr. Zboril loves to learn about them all. In fact, he has completed more than 500 hours of additional education in the past four years alone. That's almost 21 whole days!
This dedication allows him to stay up-to-date on new techniques and technologies. Not to mention, you can benefit from easier and more effective treatments. Dr. Zboril also believes in educating his patients.
When you visit our Victoria practice, he'll help you understand every step of your treatment, so that you feel confident in your care. If you end up not being a candidate for veneers, he can explain why and potentially guide you through other options, like teeth whitening or crowns.
Contact our friendly team to get started. You can also call us at
(361) 550-7186

Meet Dr. Zboril
Ready to Get Started? Fill Out Your Patient Forms
We're excited to meet you too. New patients can save time on their visit by filling out and printing their patient forms.
The Difference We Make At Zboril Dental Center
I've been using Dr Zboril for several years now. I absolutely love Brianna one of his assistants. She is patient and gentle with me bc I do not like going to dentists at all. This office makes me feel comfortable. Another major plus is Dr Rob is thorough in explaining the x-rays and recommendations for improvement. Thank you for making me not fearful of going to dentist.
View on GoogleBeing 68 I have been to a lot dentist. Have lived in multiple cities in this country. I have to say I have never been to a dentist like Dr. Zboril. He and his entire staff are amazingly coordinated and pleasant to be around. Dr. Zboril does not push anything on his patients. He is informative when speaking of options. His statement to me was that he works by my timing and my budget. I would advise anyone to go to him.
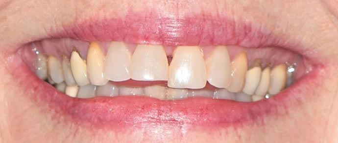
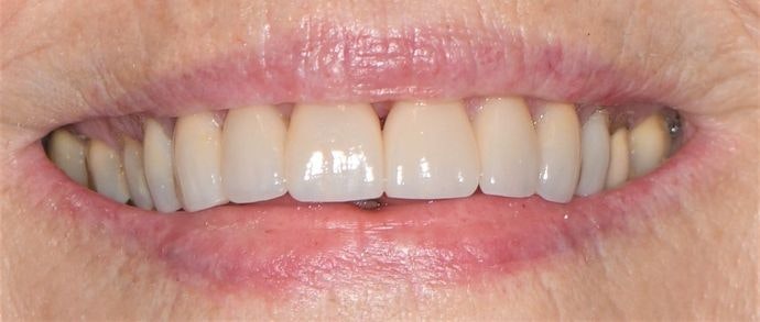
View on GoogleDr. Zboril Explains Our Approach To Porcelain Veneers Treatment
Visiting Our Dentist For Porcelain Veneers
Dr. Zboril works with highly trained lab technicians to create porcelain veneers specifically tailored to enhance your unique smile.
Get Started
How Long Do Veneers Last?

Veneers are not permanent, but they have a fairly long lifespan, especially when you maintain them correctly.
Porcelain veneers last longer than alternatives like composite, thanks to the strong and high-quality material.
With proper care, your veneers should last anywhere from seven to 15 years.
"Exceptional in every aspect." Victoria, TX, Trusts Our Team
As soon as I walked in I was helped with kind and professional service. The front desk informed me I would need to fill out for a new patient. It was swift and easy. The atmosphere in the entire building was extremely welcoming. I was called in within minutes after signing in. I was immediately called to the back. His staff was knowledgeable and friendly Dr.Zobroil came in and helped me what exactly what I needed, I had 2 sessions for a deep clean and this is without insurance. It was definitely affordable, I was even giving the option for payments if needed which was very convenient. I can safely say I have found my new set Dentist.
View on GoogleDr. Zboril and his staff are exceptional in every aspect. I had a fear of dentists and did not want to go until I couldn’t stand the pain anymore. I was ashamed I let my dental care get as bad as it was and Dr. Zboril and his staff made me feel comfortable and safe and I never felt judged or ashamed. He has given me peace of mind and made me pain free and for that I could not thank him or his staff enough. If you are looking for a dentist that will listen to you and help you, I 100% recommend Dr. Zboril. You will not regret it. Best dentist in Victoria hands down!
View on GoogleWe Accept Financing To Make Your Treatment More Accessible
Porcelain veneers are a cosmetic procedure, so they will not be covered by insurance. Our team understands that managing out-of-pocket costs can be a concern. We accept CareCredit financing, so that you can pursue the beautiful new smile you've been wanting on virtually any budget.





